Bozeman FTC&FH July Monthly Report 2020-508 compliant.pdf

Author(s)
Type of document
Report
Facility
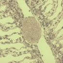
Microscopic image from fish gills
The Bozeman Fish Health Center provides services to eight western states including Colorado, Kansas, Montana, Nebraska, North Dakota, South Dakota, Utah and Wyoming.
Original Hatchery Building
The Bozeman Fish Technology Center offers technical assistance to national and state fish hatcheries, conservation propagation programs, fish management offices, state, tribal and non-governmental organizations.
Program
A man is fishing in a boat with three young girls. The kids are excitedly pulling a fish out of the water.
Healthy fisheries and waters are the foundation of America’s outdoor traditions and give us the freedom to fish, boat, and enjoy the benefits of outdoor recreation. The Fish and Aquatic Conservation programs work with states, tribes, and communities to provide a comprehensive approach to freshwater...
Orange fish eggs on a white background.
The National Fish Hatchery System is a global leader in conservation aquaculture. Across the United States, 71 national fish hatcheries raise millions of fish and aquatic wildlife each year to enhance state and tribally managed recreational fisheries, boost local economic development, fulfill...
A person is walks through a large wide culvert that passes under a gravel road. A small river runs through the culvert.
Across the country, millions of barriers are fragmenting rivers, blocking fish migration, and putting communities at higher risk to flooding. Removing those barriers is one of the most effective ways to help conserve vulnerable species while building safer infrastructure for people. The National...